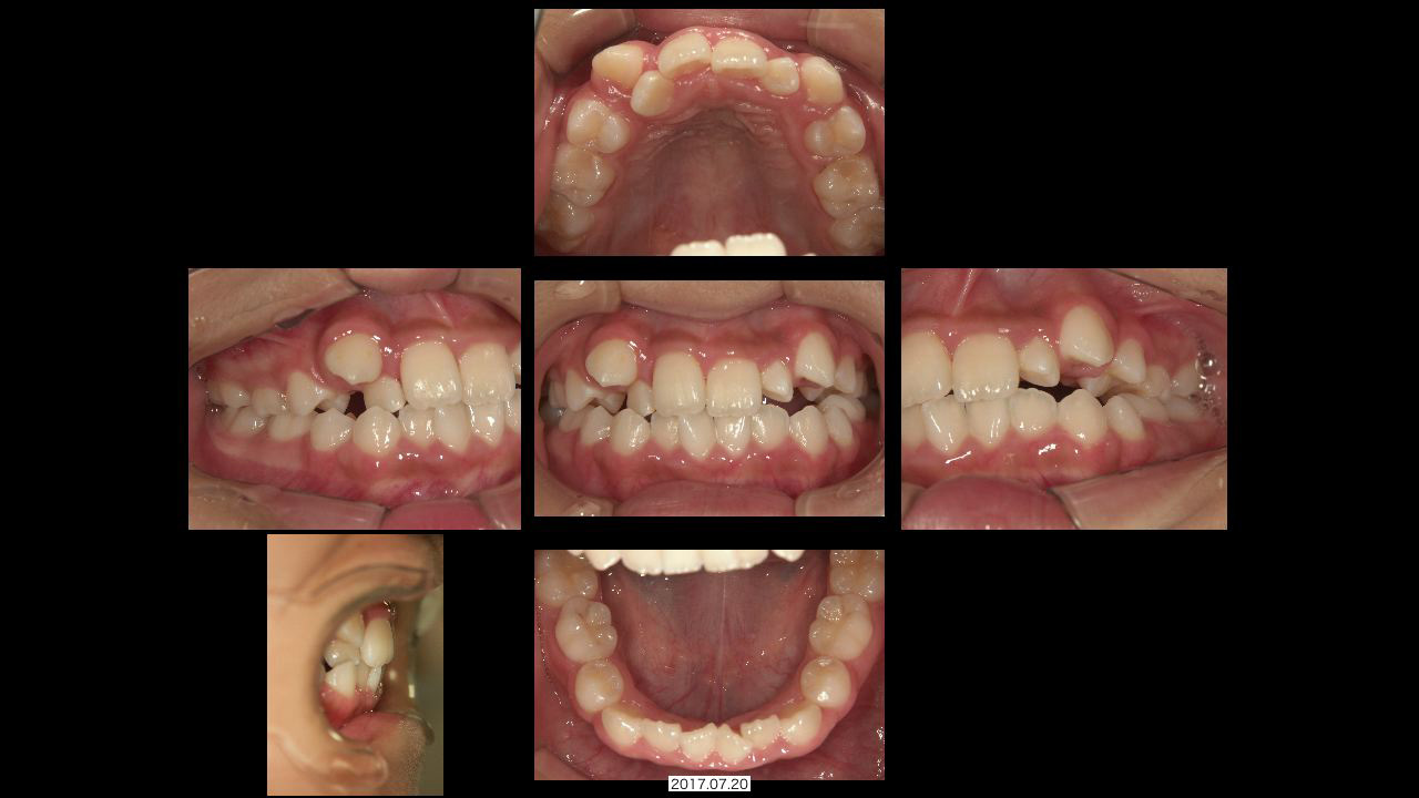
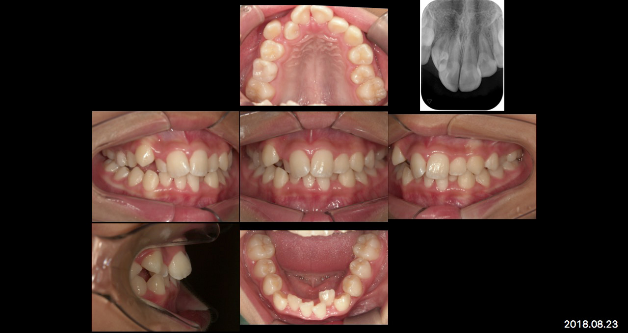
今、子どもたちの健康に大きな問題が起こっています。それは「顎の成長」です。
小学生になると乳歯から永久歯に生え変わりが始まります。前歯が生え変わっていくときに、きれいに並ばなくてガタガタになってしまったり、明らかに永久歯が生えるスペースが足りなかったりする子どもたちが増えています。




風邪をひいても適切な治療を受け安静にしていれば元通りの健康な体に戻ります。
歯を失わないために予防することが大切です。
歯周病は歯ぐきの中で歯を支えている骨がなくなっていく病気です。
むし歯のように自覚症状がなく、気付いたときには、もう歯を残せないことも多くあります。
当院では患者さんに、より「安全」で「質の高い」インプラント治療を行わせていただくために、常に知識と技術の向上に努めております。
当院では、患者さん個々のリスク(危険因子)を検査や生活習慣のヒアリングによって予測し、そこに合わせたメインテナンスケア(歯科医院でのプロフェッショナルケアとご家庭でのホームケア)のご提案を行っております。
成長の状態によっていくつかの治療方法があります。成長期の子どもの歯並びが気になる、鼻が詰まっている、口が開いていることが多いなど、子どもさんの状態で気になることがあればお気軽にご相談ください。
当院では患者様のご希望に合わせ、ホワイトニングをはじめとした白く輝く歯を得ていただくための治療法をご提案させていただいております。
〒730-0846 広島市中区西川口町12-3
TEL:082-503-0808 / FAX:082-503-0809
歯周病・インプラント・むし歯・予防・審美・矯正・顎顔面矯正(生え変わりの時期の矯正)・再生療法
| 月 | 火 | 水 | 木 | 金 | 土 | 日 | |
|---|---|---|---|---|---|---|---|
| 午前 9:00 ~ 12:30 |
○ | ○ | ○ | ||||
| 午前 9:40 ~ 12:30 |
○ | 休診 | ○ | 休診 | |||
| 午後 1:50 ~ 5:50 |
○ | ○ | ○ | ||||
| 午後 1:50 ~ 6:30 |
○ | 休診 | ○ | 休診 |
※木曜日診療の場合は、火曜日の診療時間に準じます
※当医院は予約制を採用しています。新患随時受付。急患応需。
※休診日:木曜日・日曜・祝日(祝日のある週の木曜は診療いたします。)
※学会等の関係で休診日が変更になる場合がございます。
※ご予約の上ご来院頂くか、予めお電話にてご確認ください。